
Características
Cirugías exclusivas
- Nuevas cirugías cada semana.
- Podrás ver cirugías en línea de distintas especialidades médicas: Otorrinolaringología, Neurocirugía, Radiología Intervencionista...
- Highlights de las cirugías.
- Conferencias destacadas.
- Posibilidad de descarga de vídeos, "ver más tarde" o "me gusta".
- Filtrado inteligente de vídeos.
PROFESIONALES
Médicos expertos
- Médicos expertos internacionales.
- Con la licencia premium, podrás contactar con el médico.
- Todos los vídeos en inglés y español.

¿Cómo funciona?

1.
El usuario escoge el plan que más le interese, o introduce la licencia premium que le hayan facilitado.

2.
Disfruta de vídeos según su especialidad y subespecialidad, vídeos recomendados, más populares, últimos vídeos, highlights y conferencias.

3.
Busca los vídeos por especialidad, subespecialidad, médico, duración, idioma y otros parámetros.
Cirugías de distintas especialidades
Médicos satisfechos
últimos artículos
Blog

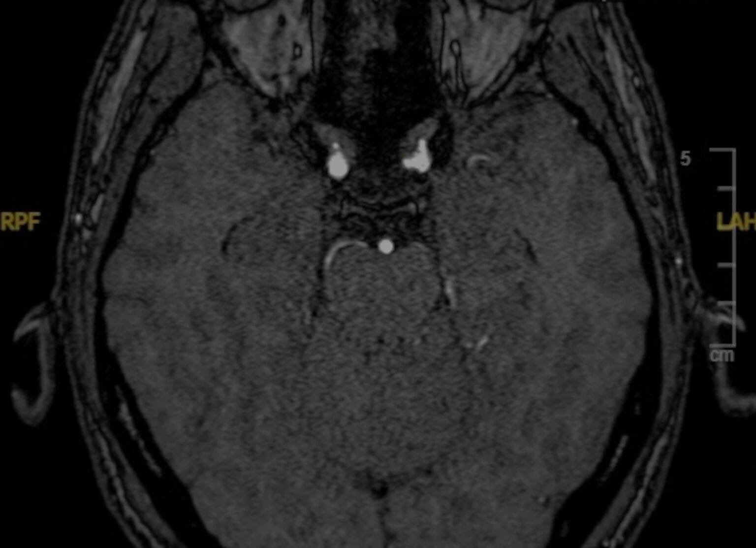
Aneurisma de la arteria hipofisaria superior – Clinoidectomía Intradural
El Dr. Javier Ibáñez realiza una clinoidectomía intradural y apertura de los anillos durales para abordar un aneurisma hipofisario superior.

Macroadenoma hipofisario supraselar: abordaje endoscópico transplanum
El Dr. Muñoz presenta un caso de resección de un macroadenoma hipofisario supraselar mediante abordaje transplanum.

Resección microquirúrgica de un craneofaringioma retroquiasmático
El Dr. Luis Borba realiza la resección microquirúrgica de un craneofaringioma retroquiasmático mediante abordaje petroso posterior modificado

Reconstrucción con prótesis de reemplazo del martillo y TORP
El Dr. Robert Vincent presenta un caso ótico complejo de reconstrucción con prótesis de reemplazo del martillo y TORP.

Clipaje transcavernoso de aneurisma de la ACS
Se presenta un caso de clipaje de un aneurisma de la arteria cerebelosa superior con un tratamiento previo con flow-diverter fallido.

Estapedectomías clásicas 2, por el Dr. Emilio García-Ibáñez
El Dr. García-Ibáñez presenta 3 casos de estapedectomía, mostrando técnicas de fenestración, descompresión, injerto y colocación protésica.
prueba surgschool
¡Descarga la app!
Únete a nuestra comunidad global de médicos y accede a cirugías exclusivas narradas por expertos internacionales, desde tu smartphone o tablet. Donde y cuando quieras.





